CABINET DENTAIRE DU DR TAPIERO
Chirurgien-Dentiste à Savigny sur Orge
105 Boulevard Aristide Briand, 91600 SAVIGNY SUR ORGE
+33 1 69 96 70 70
CABINET DENTAIRE DU DR TAPIERO
Chirurgien-Dentiste à Savigny sur Orge

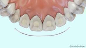
Fil de contention


video-play-icon

Articles similaires

Création par Webdentiste

Connexion